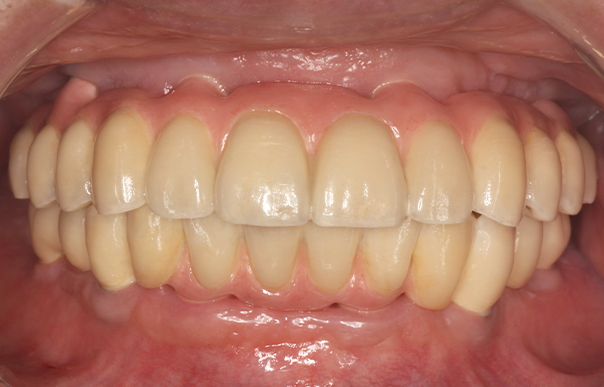
旅行や食事を楽しめるように歯を治したい 【オールオン4・オールオン6】

担当医
主訴
期間
費用
治療内容
治療に伴うリスク
  • 2025-08-06

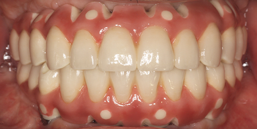
取り外しの入れ歯でなくしっかり食事を楽しみたい【オールオン5・インプラント・虫歯治療(保険診療)】

担当医
主訴
期間
費用
治療内容
治療に伴うリスク
  • 2025-08-06

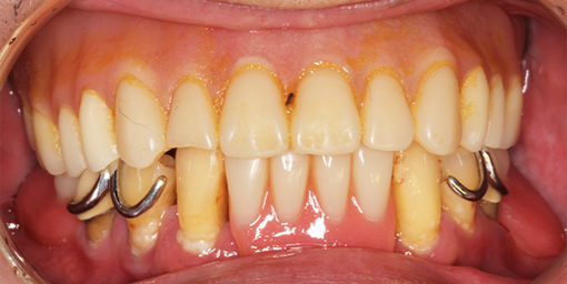
自分の歯を残しながら、噛みやすさと見た目を良くしたい 【オールオン6・義歯】

担当医
主訴
期間
費用
治療内容
治療に伴うリスク
  • 2025-08-06

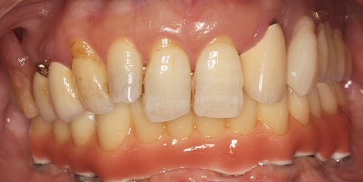
入れ歯をやめて好きなものを食べられるようになりたい。短期間で治療したい【抜歯即時オールオン4】

担当医
主訴
期間
費用
治療内容
治療に伴うリスク
  • 2025-08-06
テストカテゴリ1

瀬川症例テスト01

担当医
主訴
期間
費用
治療内容
治療に伴うリスク
  • 2025-08-04
  • テストタグ01
  • テストタグ02
  • ログイン
  • 新規登録
  • パスワードをお忘れですか?
  • パスワード再設定
  • プロフィール